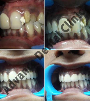
Central Incisor Overlapping Has Been Corrected By Full Ceramic Crown (Zirconia).
Increasing Height of Tooth.
Non invasive smile correction.
Surgical removal of mucocele from lower lips
Surgical removal of mucocele from lower lips
Surgical removal of mucocele from lower lips
Surgical removal of mucocele from lower lips
Pt complaining of severe pain in lower right wisdom molar. Tooth was not visible in mouth. Mesioangular impaction was done successfully.
A male patient age 75 years got his four successful implant placed in the lower jaw.
Patient having midline diastema and spacing in upper anterior tooth.All gaps covered by crown and bridge.
A patient who lost his lower central incisors in accident got his missing teeth back by zirconia that is full ceramic crown and bridge .
Patient complain of pain due to impacted canine.
Upper anterior tooth missing ,replaced by crown and bridge.