About-us

Full Mouth Rehabilitation

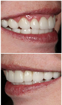
Full Mouth Rehabilitation

Full mouth reconstruction, rehabilitation and restoration are terms often used interchangeably to describe the process of rebuilding or simultaneously restoring all of the teeth in both the upper and lower jaws.
Full mouth reconstruction typically involves general or restorative dentists (performing procedures like crowns, bridges and veneers), and can incorporate dental specialists like periodontists (specializing in the gums), oral surgeons, orthodontists (specializing in tooth movements and positions) and endodontists (specializing in the tooth pulp).

The need for full mouth reconstruction may result from:
  • Teeth that have been lost due to decay or trauma.
  • Teeth that have been injured or fractured.
  • Teeth that have become severely worn as a result of long-term acid erosion (foods, beverages, acid reflux) or tooth grinding.
  • Ongoing complaints of jaw, muscle and headache pain requiring adjustments to the bite (occlusion).

Certificates of completion